経験豊富な歯科臨床とインビザラインなどの最新設備を備え、患者さんに快適な矯正治療を提供。
矯正治療には、ワイヤー矯正、マウスピース矯正(インビザライン)、インプラント矯正などがあります。藤沢歯科には、歯科用CTやiTEROⓇ(口腔内スキャナー)、マイクロスコープなど、充実した設備を兼ね備えるだけでなく、矯正治療を行う歯科医師が常勤し、患者さんに一人一人に合った矯正治療の提案をしております。

矯正治療には、ワイヤー矯正、マウスピース矯正(インビザライン)、インプラント矯正などがあります。藤沢歯科には、歯科用CTやiTEROⓇ(口腔内スキャナー)、マイクロスコープなど、充実した設備を兼ね備えるだけでなく、矯正治療を行う歯科医師が常勤し、患者さんに一人一人に合った矯正治療の提案をしております。

食べ物をよく噛めるようになり、消化や吸収を助け、内面から健康のサポートになるとばかりでなく、歯並びが整うことでブラッシングが十分にできるようになり、虫歯や歯周病を予防しやすくなることも大きなメリットだと言えます。
特に歯がガタガタ、上の歯が出ている、反対咬合(受け口)、歯が重なっていると、見た目の問題だけでなく将来の歯を失う可能性を高めてしまいます。矯正治療によって見た目を改善する、そして、噛み合わせを安定させることで、自然な笑顔で自分の歯で噛めるようになることは,健康で豊かな生活につながると思います。

口元がいつも気になっている。歯の重なりや出っ歯、受け口など、歯や見た目の悩みは人それぞれです。矯正治療で改善できることを診査・診断して、口元を気にせずに思いっきり笑えること、見た目をキレイにするとで、今までのコンプレックスや悩みが少しでも改善できるようにサポートしております。
そして、矯正治療中の見た目も気になると思います。周りの人に気が付かれないようにしたい・・、なるべく目立たないように矯正治療をしてみたいなど。「インビザライン」によるマウスピース矯正は、矯正治療中の見た目を気にすることなく治療を行うことができます。

最近では、矯正歯科治療を希望する大人の方がとても増えています。年齢に関係なく、矯正歯科治療を受ければ歯並びはより良くなります。矯正歯科の目的は、美しさを取り戻すだけではありません。悪い歯並びや不正咬合は、虫歯や歯周病、偏頭痛、肩こりなどの健康的な問題を引き起こす可能性がありますし、出っ歯や受け口、乱ぐい歯などの歯の乱れによる精神的コンプレックスは審美的問題といったマイナス要因を引き起こしてしまいます。矯正歯科治療はそういった問題を解消し、また、自信を得た笑顔は表情筋を鍛え、アンチエイジングの効果をもたらしてくれます。美しい歯並びから健康につながれば良いと考えています。

藤沢歯科ペリオインプラントでは、デジタルスキャニングiTERO®を2021年5月に導入しました。歯型の型取りの不便さが減り、嘔吐反射の起きにくい治療を受けることが可能となります。

矯正治療を行う前や、治療途中に、虫歯治療や歯周病治療、インプラント治療などが必要な場合でも、複雑な状況においても、他の歯科医院に通うことなく、治療することができます。
矯正治療には、ワイヤー矯正、マウスピース矯正などがあります。藤沢歯科ペリオインプラントは、患者さまに合った矯正治療を提案させていただきます。
藤沢歯科ペリオインプラントでは、歯科用CT、マイクロスコープ、iTERO®(口腔内スキャン、※2021年春頃導入予定)など、充実した設備を完備し,精密な治療や、患者様にとって、快適な治療を受けていただくことができるようにいたします。
装置をシンプルにしながら、歯に適切な力がかかって歯を効率的に移動できるようになってきており、素材も、ニッケルチタン合金などの超弾性で形状記憶を持ち歯の移動にやさしいものが出ています。歯が見えた時に目立たない透明な装置やワイヤーを留めるゴムなどがあります。
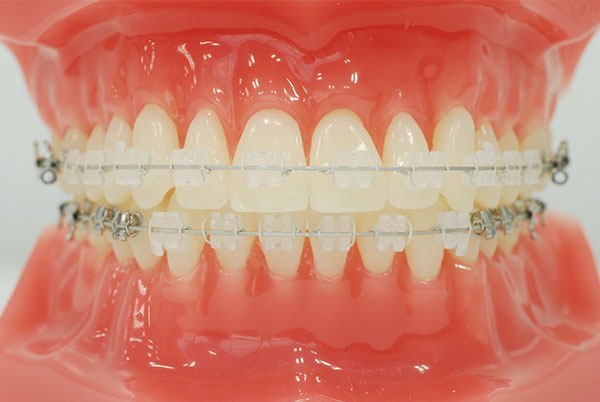
矯正をするための装置は、治療目的や装置の動きにより、様々な種類があり、形も異なります。ほとんどの歯にブラケットという器具をつけ、そこにワイヤーを通し、ゴムや結紮線でブラケットに固定して歯を動かしていくことから名付けられている。マルチブラケットは、装置がシンプルで、口の中がすっきりとして、見た目にも優れて、歯磨きもしやすく、治療途中での虫歯にかかる割合も少なくなっています。

目立つのはちょっとという人のためにあるのが、セラミックや人工サファイヤなどで作られた透明なブラケット。ただし、金属のブラケットに比べて割れやすいのと、素材が高価なため、金属のブラケットをつかうよりも、5~10万円程度、プラスの費用がかかります。また、セラミックは固いやめ、かみ合わせの関係で歯の先端がこのブラケットにぶつかるとその歯が削れてしまうこともあります。

ワイヤーやブラケットを一切使わず、マウスピース型の矯正装置(アライナー)を歯に装着することで、歯を移動させるのがこのマウスピース矯正。メリットは、矯正装置が透明に近いため、周囲の人に矯正しているのが気づかれにくいこと。装着時の違和感や不快感は少ない傾向にあります。

| メリット | ○矯正治療の治療期間を短くできる ○歯の移動が的確に行える ○外科矯正を避けることができる |
|---|---|
| デメリット | ○アンカースクリューの動揺や脱落 ○周囲粘膜の感染,炎症に伴う腫れや痛み ○アンカースクリューの破折 ○歯根への接触や損傷 |
| 料金(税込み) | インプラント矯正の手術費用110,000円 |
成人で全体的に歯並びを治す期間は約2年となります。
藤沢歯科では、装置の種類、方法により治療費の設定をしております。
| 矯正診断 | 110,000円 |
|---|---|
| 成人矯正(ブラケット・ワイヤー) | 880,000円 |
| マウスピース型矯正(インビザライン)(全顎) | 990,000円 |

日本歯科麻酔学会認定医
日本臨床歯周病学会認定医・指導医
日本歯周病学会歯周病専門医
日本口腔インプラント学会専門医
東京歯科大学非常勤講師(歯科麻酔学講座)
CDAC(Clinical Dental Anesthesiologist Club)代表